#
Clinic 1: 9:30am to 2:00pm & 5:00pm to 8:00pm | Clinic 2: 5.00pm to 7:00pm 9842275538 drckmmaran@yahoo.co.in

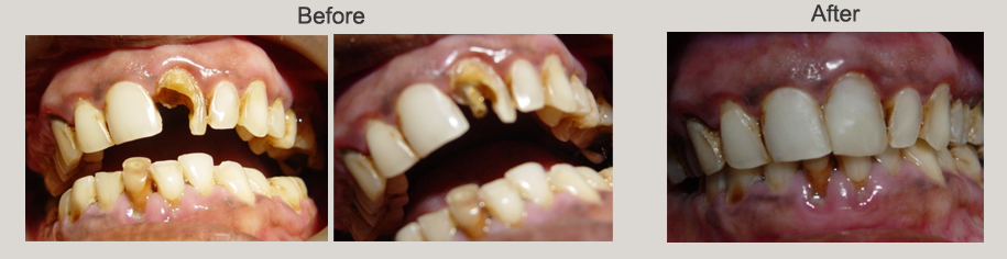
Cosmetic Dentistry

"Appear well to appeal well"

Your smile communicates a lot about how you feel about yourself. Even a minor flaw in your smile can keep you from feeling your best about the way you look. In the past, we had few options to improve teeth that were chipped, stained or crooked. However, now a wide range of cosmetic dental techniques can benefit almost any smile. Cosmetic Dentistry is a blending of art and science. With a focus on aesthetic results and using a variety of the latest restorative techniques and materials, we can enhance your smile to give it a more pleasing appearance. Some of the conditions that may be helped by cosmetic dentistry are:

Diastemas( Diastema Clousure) (spaces between the teeth)


RCT and Post and LC (Tooth Color Filling)



Tooth Color Fillings