#
Clinic 1: 9:30am to 2:00pm & 5:00pm to 8:00pm | Clinic 2: 5.00pm to 7:00pm 9842275538 drckmmaran@yahoo.co.in

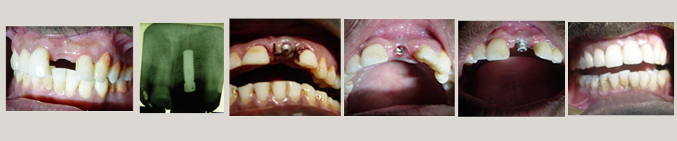
Implants

Despite improvements in dental care, more people suffer tooth loss -- mostly due to tooth decay, gingivitis (gum disease), or injury. For many years, the only treatment options available for people with missing teeth were bridges and dentures. But, today, dental implants are available.

A dental implant is a "root" device, usually made of titanium, used in dentistry to support restorations that resemble a tooth or group of teeth to replace missing teeth Dental implants are replacement tooth roots. Implants provide a strong foundation for fixed (permanent) or removable replacement teeth that are made to match your natural teeth.

Here are many advantages to dental implants, including:

    Improved appearance. Dental implants look and feel like your own teeth. And because they are designed to fuse with bone, they become permanent.

   Improved speech. With poor-fitting dentures, the teeth can slip within the mouth causing you to mumble or slur your words. Dental implants allow you to speak without the worry that teeth might slip.

    Improved comfort. Because they become part of you, implants eliminate the discomfort of removable dentures.

    Easier eating. Sliding dentures can make chewing difficult. Dental implants function like your own teeth, allowing you to eat your favorite foods with confidence and without pain.

    Improved self-esteem. Dental implants can give you back your smile and help you feel better about yourself.

    Improved oral health. Dental implants don't require reducing other teeth, as a tooth-supported bridge does. Because nearby teeth are not altered to support the implant, more of your own teeth are left intact, improving long-term oral health. Individual implants also allow easier access between teeth, improving oral hygiene.

    Durability. Implants are very durable and will last many years. With good care, many implants last a lifetime.

    Convenience. Removable dentures are just that; removable. Dental implants eliminate the embarrassing inconvenience of removing dentures, as well as the need for messy adhesives to keep them in place.


Single Tooth Replacement


Multiple Implants Both Jaws and Full Mouth Rehabilitation



Lower Jaw All on 4 and Full Mouth Rehabilitation



Dr.P. Navaneetha krishnan.,M.D.S.

Implantalogist - 15years of Experience.

  •     I finished my B.D.S. from Tamil Nadu government dental college in 1984.
  •     Gold medallist in B.D.S.
  •     Finished MDS from the same college in 1988.
  •     Attended American Academy of Implant Dentistry course in 2005 and passed the part I exam.
  •     Actively involded in practising the recent concepts Implants and Esthetic Dentistry.